Aujourd’hui, la question du blanchiment des dents touche plus de la majorité des personnes. Cet entretien bucco-dentaire, bien souvent laisser de côté pendant des années, prend sa revanche. Si bien que des techniques plus révolutionnaires et plus pratiques ont été trouvées par les professionnels en la matière.
Un blanchiment des dents : pourquoi et pour qui ?
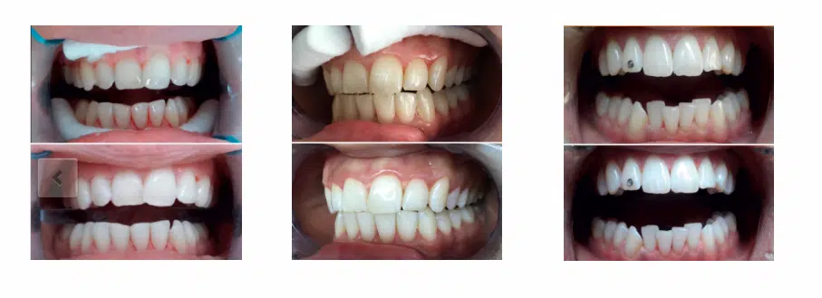
On a tendance à croire que le jaunissement des dents est le fruit d’un manque d’hygiène. Et pourtant, même ceux qui respectent scrupuleusement les indications des dentistes peuvent avoir besoin d’un blanchiment des dents. Ce n’est pas parce que vous vous brossez les dents trois fois par jour que vous allez pouvoir éluder éternellement ce genre de traitement. Le jaunissement peut être le fruit de la vieillesse. Les dents aussi peuvent perdre leur beauté au fil des années.
Mais la cause la plus redondante en ce qui concerne le jaunissement est le tabagisme. La nicotine et la caféine sont les ennemies des dents blanches. Si pendant des années vous vous êtes laissé aller à ce genre de mauvaises habitudes, vous avez trouvé les causes de l’absence d’esthétisme dans votre bouche. Et d’ailleurs, il faudra y mettre fin si vous souhaitez que les traitements proposés par les médecins soient plus efficaces.
Quelle est cette nouvelle astuce des dentistes ?
Plus besoin de détartrage de longue haleine ni des heures de soin pour faire un blanchiment des dents. De nos jours le procédé est plus simple et plus rapide. C’est le résultat du développement de la technologie infrarouge.
Pour soigner le jaunissement des dents, les dentistes utilisent désormais un appareil qui envoie des lumières pulsées sur les dents. Le but est d’activer la blancheur des os via une pâte spéciale contenant 60 % de peroxyde d’hydrogène. Cet actif blancheur est connu pour son efficacité et le résultat naturel qu’il propose dans le blanchiment des dents. Après le traitement, la teinte de vos dents peut demeurer ainsi pendant des mois, si vous en prenez soin.
Cette nouvelle astuce est plus renommée de nos jours, et ce, malgré son prix. Et pour cause, outre son efficacité, elle est aussi connue pour sa légèreté. Il ne sera pas utile de se faire anesthésier pour en profiter. Ainsi, même les femmes enceintes, les petits et les grands, peuvent se faire soigner à tout moment. Il suffit de prendre rendez-vous auprès des cabinets dentaires.
En outre, les risques sont minimes. Que ce soit les appareils utilisés ou les produits étalés dans la bouche : tous sont règlementés pour optimiser la sécurité des patients.

